親知らず
「親知らず」この言葉聞いた事はありますか?前から数えて8番にあるので「ハチバン」と言ったり「知歯(ちし」「智歯(ちし)」と言ったり「第3大臼歯」と言ったりします。
18歳以降に一番最後に生えてくる奥歯です。
わたし達の先祖の方々はこの上下の「8番」がきちんと咬む事により食べ物をすりつぶしておりました。しかし近年「8番」がはえる顎のスペースがせまくなり横向きにはえてきたり、少しだけ見えてたり、まったく見えなかったり、また最初からなかったりする事が多く見られるようになりました。
それは食生活の変化により咬む回数が少なくなり顎が運動不足になっているためと言われています。過去から現代の日本人の全ての「おやしらず」が生えそろう割合は以下の通りです。現代人の「おやしらず」は生えない人の方が多いのですね。
| 日本人の歴史における、知歯が全て生えそろう割合(鈴木尚による) | |||
| 縄文時代 | 古墳時代 | 鎌倉時代 | 現代 |
| 81.0% | 62.7% | 42.9% | 36.0% |
「おやしらず」をそのままにしておくとどうなるの?
「おやしらず」はそのままで良い場合と経過を見ていく必要がある場合、抜いた方が良い場合と大きく分けると3つに分類出来ます。
そのままで良い場合
上下左右4本の「おやしらず」がきれいに生えていて「おやしらず」の奥まで歯ブラシの毛先が届き良く磨ける場合。こんなケースの場合は「おやしらず」を残しても良いかもしれませんね。
経過を見ていく必要がある場合
「おやしらず」の周りの歯肉に炎症がある場合で「おやしらず」の周りを良く磨く事が出来る場合。良く磨く事で「おやしらず」の周りの炎症が良くなるようであれば経過をみても良いかもしれません。
抜いた方が良い場合
「おやしらず」の手前の歯を虫歯にしたくない場合。「おやしらず」を抜けば手前の歯の「おやしらず」との間は虫歯になりにくくなりますね。
過去に「おやしらず」の周りの歯肉が腫れた事がある場合。症状は治まったとしてもいつかまた腫れる可能性があります。
「おやしらず」自体が虫歯の場合。「おやしらず」が虫歯になった場合抜く事が多いです。治療に時間と回数をかけても「おやしらず」の周りは磨きづらいためまた虫歯になったり歯肉が腫れてきたりします。
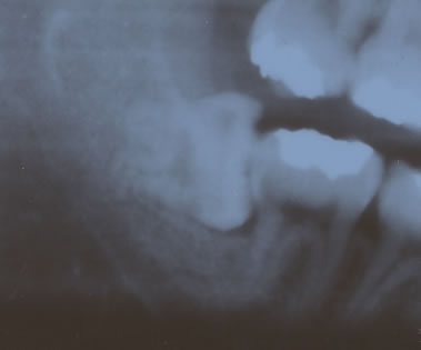
これは上の「おやしらず」です。手前の歯に引っかかって生える事が出来ません。

これは下の「おやしらず」横向きに生えています。手前の歯が虫歯になりやすくなります。

五十嵐歯科医院」の「おやしらず」の抜歯について
当院では多くの患者様の「おやしらず」の抜歯を行って来ました。「おやしらず」を抜くには、歯科医療の知識と技術、そして清潔な歯科医療環境がとても重要です。
五十嵐歯科医院の「おやしらず」に対する処置の順序を説明します。
1.レントゲン写真を撮影し診査・診断を行います
レントゲン写真で「おやしらず」の生えている向き、深さ、根の本数と形態、根の先と顎の中の太い神経との位置関係を確認します。
2.診査結果の説明
「おやしらず」を抜く必要性と抜く時間、抜歯後の痛みや腫れについて説明し、また経過観察した場合今後どのようになるかなどについて説明します。その結果抜歯を希望された患者様には抜歯する日のご予約をして頂きます。
3.抜歯当日
体調が良い事を確認し、麻酔の問診をさせて頂き問題がなければ粘膜の表面に麻酔の薬を塗ってその後痛みが出ないように注射で麻酔をし抜歯を開始致します。簡単な場合は5分、長く掛かるケースでは30分ほどで抜歯が終了します。体調が悪い時や気分がのらない時は無理せず抜歯を延期、もしくは中止にしましょう。
4.抜歯の次の日
抜歯の次の日、もしくは翌々日に来院していただき、抜歯後の傷口などの確認をさせていただきます。 「おやしらず」を抜くと以下の可能性があります。
・腫れる(少し腫れるケースからすごく腫れるケースまで様々)
・痛みがでる(短時間で痛みが取れるケースから1週間ぐらい続くことも)(痛みの程度は少しの痛みから強い痛みまで様々)
・抜くときにかかる時間(短時間で抜くことが可能なケースから時には病院に入院し全身麻酔で抜く事も)
・麻痺(麻痺がまったくおこらない事がほとんどですがまれに唇あたりの感覚がなくなる事が)
・「おやしらず」の手前の歯の根が露出し冷たいものがしみるようになる事があります。しみ方が強い場合は手前の歯の神経をとる事もあります。
・「おやしらず」の手前の歯がグラグラになる事も(親知らずを抜くときに手前の歯に力が加わることがあります。)
・抜歯後は抜歯した側では食べ物を咬まないようにし体を安静にする必要があります。
以上の事は「おやしらず」の埋まっている深さ、向き、周りの骨と歯肉の状態、太い神経との距離などにより個人差があります。




